[임신일기] 정기검진 초음파 모음 (5주, 7주, 9주, 12주, 16주, 21주, 25주, 28주)
현재 29주차라 5주차 부터 28주차까지 초음파를 모아보았다 :)
5주차 1일
임신을 확인한 주이다!
초음파로 아기집과 난황을 확인할 수 있고, 아직 아기가 보이지는 않는다.


7주 1일차
처음으로 아기를 볼 수 있고, 심장소리를 처음 들을 수 있다!
아기가 1cm 정도 밖에 안되는데 심장소리가 우렁찬게 너무 신비스럽다 :)




9주 1일차
젤리곰 같은 태아를 볼 수 있다! 벌써 손발이 생겨 움직이는 모습이 너무 신기하다.
이 시기는 평소보다 심장이 원래 빨리 뛰는 시기이다.




12주 1일
입체초음파 등으로 기형아를 검사하는 시기이다.
입체초음파를 처음 봤는데, 벌써 아기 형태가 많이 생긴 것 같아 너무 신기하고 반한 때이다!
임신 확인 후 보통 2주 마다 검진을 받으러 왔는데 12주는 임신 초기를 지나는 시기로,
특이사항이 없다면 이후에는 4주 이후 검진을 받으러 간다.




16주 2일
일반검진으로 이제 초음파로 아기를 한 눈에 들어오기 타이트해진 시기이다. 그 만큼 아기가 큰 걸 보면 신기하다.
그리고 성별을 알 수 있는 시기이다!




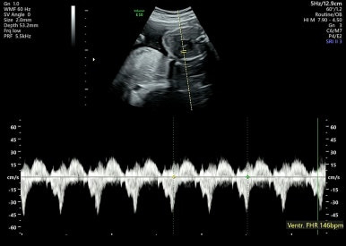
21주 1일
정밀초음파로 외형, 장기 등이 이상이 없는지 확인하는 시기이다.
머리부터 발끝까지 꼼꼼하게 검사를 하게 된다!
손발 등 너무 정교하게 생겨서 너무 신기하다!








25주 1일
일반 정기 검진으로 태아의 성장을 점검하고 특이사항이 없으면 다음 검진 때 간다.




28주 1일
입체초음파로 태아의 얼굴을 볼 수 있는 시기이다!
제일 기다렸던 때이고, 다행히 태아 얼굴을 볼 수 있었다.






다음 초음파는 3주 뒤, 그 다음 9개월 차 부터는 2주 간격으로 검사한다고 한다.
다음 초음파들도 업데이트 해야겠다 :)